Рассмотрите рисунок ткани человека и определите тип ткани, её вид и функцию. Заполните пустые ячейки таблицы, используя элементы, приведённые в списке.
Для каждой ячейки, обозначенной буквой, выберите соответствующий элемент из предложенного списка.

| Тип ткани | Вид ткани | Функция |
| ______(А) | ______(Б) | _____(В) |
Список элементов:
1) соединительная
2) опорная
3) покровная
4) костная
5) плоский эпителий
6) эпителиальная
Запишите в таблицу выбранные цифры под соответствующими буквами.
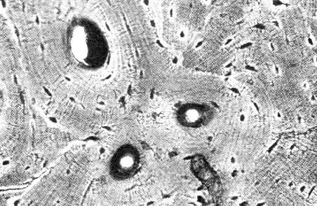
На рисунке изображена костная ткань.
Тип ткани — соединительная (включает в себя виды: костную, хрящевую, кровь и т.д.);
главная функция костной ткани — опорная (составляет скелет, к которому прикрепляются мышцы и внутренние органы).
Ответ: 142
