Задача к ЕГЭ по биологии на тему «Генетика» №30

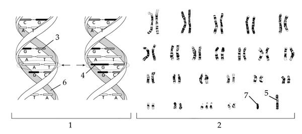
Рассмотрите рисунок и выполните задания 5 и 6.
Задача к ЕГЭ по биологии на тему «Генетика» №30
Установите соответствие между характеристиками и типами мутаций, причины которых обозначены цифрами 1, 2 на рисунке. К каждой позиции, данной в первом столбце, подберите соответствующую позицию из второго столбца.

ХАРАКТЕРИСТИКИ ТИПЫ
МУТАЦИЙ

А) увеличение набора хромосом
Б) нерасхождение гомологичных хромосом
В) может привести к замене аминокислоты
Г) точечная мутация
Д) определяется кариотипированием
Е) изменение последовательности нуклеотидов 

 1) 1
 2) 2

Запишите в таблицу выбранные цифры под соответствующими буквами.

Ответ: 221121
admin
Оцените автора
Я решу все!
Добавить комментарий